有句话说得好,好事需多磨,韦先生就是这么一个爱折腾的人,今天给大家带来他的案例是经过他三年的折腾,韦先生是工薪一族,尽管如此他儿时的梦想就是想在客厅建起家庭影院,虽说韦先生的客厅并不大,麻雀虽小五脏俱全,在他的客厅影院中应有尽有,虽然面积不大,但也已然乐在其中,这大概就是发烧友对影院的真爱。

- 投 影:MITSUBISHI HC77-11S
- 幕 布:120寸白塑电动幕
- 扬声器:DIY线阵列JBL 4312
- 功 放:ONKYO SR 876JBL MPA750
- 低 音:SVS PB13UBOSE AWCS WAVE CANON
- 均衡器:BEHRINGER DEQ-2496BEHRINGER DSP-8024

折腾无止境
虽是工薪阶级,但是影院的目标和理想定好以后,韦先生也为此付出很多努力,想要有影院的感觉、暖声、音乐感、好的氛围感以及不需要刻意追求感官的火爆刺激感。



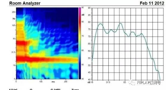
房间的室内频响仿真
空间信息
楼主的客厅影院是一个类矩形空间,长宽约3.2M*8M,还有一条宽度约0.4M的走道。韦先生对于影院和折腾是相当有态度的,从声学到器材设备每一步都脚踏实地,一步一个脚印做出让人信服的工作。在房间声学处理上,韦先生强大的动手能力强,从图上看出低频的“谷”比较深,这会导致后期设备开声的低频效果不好,韦先生本着小空间声学、吸为主、住高层、尽量降低扰民、低造价的精神,自己研究建筑声学之类的书,按照10cm空气层、一层水泥压力板、隔音棉、石膏板的三明治结构搭配木龙骨支撑来搭建,并且对侧墙和吊顶进行隔音兼顾低频吸收的装修工程,加上电梯公寓,原则是不允许做浮筑地面,我就做了自流平地面,增厚了地面增加隔音效果。
韦先生的这套装修方案效果相当好,在装修完后的近两年看碟,重口味大声压,都未遭到投诉和敲门。




众炮选美
低音炮是整个影院系统声底的基石,俗话说好炮遮百丑,好的低音炮能够最大程度上给观众带来影院的感觉,否则都是假象。每一种炮都有自己的性格,有着自己鲜明的优点和缺点;每个人的影院房间,声学特性都是不一样的,不同的炮在不同声学特性房间里所展现的低频是不一样的;对低频不同喜好的人,对低音炮给出的主观评价也是不同的。
所以叙述与真实的听感往往更是因叙述人和表达方式的不同,可以有很大的不同,所以低音炮是最容易把人搞迷失的,不然怎么总会有人问那个炮适合我多大的房间,感觉怎么样?韦先生选择过的低音炮有BOSE AWCS WAVE CANON、MK MX250、JBL4645B、PC12-Plus和PB13-Ultra,最终选择了BOSE AWCS WAVE CANON和PB13-Ultra。

选炮标准
前面说到每个人对低频的喜爱都有不同,韦先生对影院的整体声底目标是:温暖,大气,音乐感好。不追求那种犀利超火爆的声音,只追求霎那间被感动到黯然掉泪的感觉。而且韦先生对低音炮极低频频段极其敏感,极其渴求,对20Hz~40Hz这一段特别钟爱,所以极低频的声压是韦先生选择低音炮的重要指标,排在所有的前列。电影里非常非常多的场景片段都是靠极低频来烘托情景的氛围感,低频的松软感,也来自极低频的表现。
韦先生认为速度感中等偏快就好了,低频的速度实际上和氛围感是矛盾的,这是他玩了MK之后的感觉。都说低音炮唯快不败,他是看电影,不是看低音炮打架,在氛围感面前,他愿意舍弃一些速度感,而更多偏向于氛围感,但他发现不少人其实混淆了速度感,冤枉很多好炮,元凶是房间的驻波,炮速度很快,但是驻波掩盖了一切,轰隆隆个不停。以这些标准,经过一番折腾选定BOSE AWCS WAVE CANON和PB13-Ultra。


BOSE AWCS WAVE CANON,长度达到3.8m,它霸气造型的弊端,就是无法在家里进行摆位,因为适合他霸气外观的位置在客厅里实在太少,而韦先生家做了大面积空腔吸音结构的环境下,声压并不能达到很高,强行加功率,大动态的时候,喇叭都有拍边现象,因此不得不专门用了台DSP EQ来拉驻波和压限保护娇贵的单元,所以购入了JBL MPA750。
由于这个炮有很好的氛围营造能力,但是受限于结构,声音的速度感并不快,虽然笔者对打击力没神马要求,但是还觉得软。

于是把流行的MK MX250从朋友家借来,虽然是两炮合作,但是声音总觉得还是没有想象的那种气势和松软感。
偶然的一次韦先生在电影院看电影,当时觉得大厅低频的松软感和氛围感实在太好了,悄悄跑到幕后,看到是JBL的四只十八寸巨炮,当即就动心了,既然喜欢影院的感觉,那就照着折腾吧,于是就各种寻找渠道,最终和好友合买了一对JBL最好的4645B十八寸巨炮,一人一个,各自塞回自己的蜗居。

但是好景不长,通过对JBL4645B的不断摆位,用EQ强行将20HZ提升10DB 始终倒腾不出来影院的那种感觉的极低频。经过和朋友们的讨论和自己的琢磨,我的客厅,小空间的低频增益,频段已上移到约7、80HZ左右,而我最想要的极低频确木有增益,极低频频响衰减很快,小空间低频混响时间短,低频声音也变得紧,而我用EQ是无法强行逼出那种感觉,激励器反而让单元工作在失真较高的大振幅状态,导致大动态完全恶化。所以JBL4645B完全不符合韦先生的低频喜好,后来寻觅一圈,还是只有PB13U结构符合自己的要求。

经过一番寻觅和学习,直到有一天看到上图,一看数据韦先生感慨道,“这不是我苦苦追寻的吗?”SVS PB13-Ultra在排行上还是前几位,10Hz模式,12.5Hz 还能保持92.4dB的声压,16Hz居然可以到101.1dB!比PB13U好的都是怪兽级别的DIY低音炮了,而PB13PB13U极低频的声压和整体声压都是我所追求的。而且PB13U结构符合自己的要求,长导向孔可转密闭箱体结构,极低频频响响应曲线,滚落才不会太抖,并且全部塞上三个导向孔就变SB13-Ultra可玩性太多。
PB13-Ultra喇叭是超长冲程的,行程可以有50MM 太惊人了!这点完全和ATC的低音喇叭设计方式是完全一致的,超大磁钢,超大线圈,超长冲程,但单元振膜面积不大,振膜面积如果越大,虽然驱动的空气面积大了,但振膜整体质量更重,惯性变得更大,如果控制力度不够强,最终会导致单元在大动态下的失真会变得非常糟糕。所以SVS采用振膜直径适中的13.5寸振膜面积,保证单元低频响应的速度和低失真比单纯采用15或者18寸单元开环控制的炮,更容易出好声。



PB13尺寸:90厘米(深)*68.3厘米(宽)*73.3厘米(高)可以塞进蜗居,有几处地方可以找炮位,70.3公斤的重量,喇叭就重20KG,让人觉得,料下足够,非败絮其中,心里踏实。


“初测茶几位,效果不太理想”


“电视沙发位边上,效果还是不太理想,虽然好了一点”


“效果依然惨不忍睹”


“终于在屋子角落找到相对好的炮位”


“堵上一个倒相孔后明显平顺多了”
调试寻炮位
炮位寻找能让低音炮展示出最好的效果,配合小推车开始满屋子找炮位,140斤的炮,没这个道具,要搞死人的。

初步感受
除了70HZ 这个10DB的谷,其他都很满意,未进行PEQ等设置,70HZ 左右主管 打击力,好在我不是太好这口,所以心里木有太难受,调试的时候韦先生一直都是忐忑不安的,害怕自己的房间声学环境过于糟糕。因为有网友,用PB13U,也没法达到理想的极低频响应,用上DD18+也只能达到25HZ,弄到这里,韦先生终于安心了PB13U没有在他家里没有重大的水土不服。

“关公的刀法完全成龟派气功了,那气场横扫,气流感按摩后背,以前不敢放这段”


“现在可以骄傲得展示这段极低频的魅力了
PB13U 速度很好,都可以当一门HIFI炮了
这些场景很好融合
看来网上那位玩HIFI的ATC台湾玩家,用这个炮配ATC是完全有道理的
音乐性非常好!不拖沓,速度适中!”

“看阿凡达,终于有影院那种氛围烘托,虽然看过很多次,这次还是感动死了。”
总结
好声来源于科学的认知自己的喜好,选择适合自己的器材,科学调试,低音炮一定要精心的摆位,EQ和PEQ尽量少用,走自己的路,玩得开心才是最重要。千万不要轻易给一门炮下一个糟糕的定论,也许它只是在你家水土不服。再重申下,声音是一个极其主观的东西,充满了太多个人的喜好色彩,没有谁好,谁不好,只有喜欢和不喜欢。要下这个结论很容易,带着熟悉的碟去大胆试听和选择再决定。


